脳神経外科領域の主な疾患
- ホーム >
- 脳神経外科領域の主な疾患 > 髄膜腫とは
- 脳を包んでいる髄膜と呼ばれる膜の細胞からできてくる腫瘍で、脳そのものを圧迫するように大きくなります。原発性脳腫瘍の代表的なものの一つで、女性に多い腫瘍で、ほとんどは良性です。また、多発することもあります。最近は脳ドックの普及で無症状であるにもかかわらず、偶然みつかることも多くなりました。
髄膜腫とは
-
小さい腫瘍は無症状ですが、やがて大きくなってくると脳や神経を圧迫して様々な症状が出てきます。髄膜腫が発生した場所に応じた局所症状と、腫瘍が非常に大きくなったために頭蓋内の圧が上がり頭痛、嘔吐、視力障害、意識障害などの症状が出ることもあります。髄膜腫ができる場所によりさらに分類されていますので、よく見られるものを記載します。
- 大脳表面の髄膜から発生する腫瘍で最も多く、圧迫された大脳の部位に応じて、麻痺、けいれん発作、精神症状などが出ます。
- 左右の大脳の間にある太い静脈の壁から発生します。圧迫された大脳の部位に応じて、麻痺、けいれん発作、精神症状などが出ます。
- 左右の大脳の間をわける大脳鎌という部分から発生します。圧迫された大脳の部位に応じて、麻痺、けいれん発作、精神症状などが出ます。
- 頭の底で前頭葉と側頭葉の境目にある蝶形骨という部分の髄膜から発生します。正中部に近い場所から生じると視神経の障害を来たしたり、太い動脈を巻き込んだりします。眼の方向に成長する場合もあり、この場合眼が突出してきます。
- 頭の底の真ん中にある鞍結節と呼ばれる部分から発生します。視神経の障害をおこし、下垂体腫瘍と似た症状が出てきます。
- 大脳と小脳を境するテント(天幕)と呼ばれる髄膜から発生します。小脳の障害で平衡障害がでたりします。
- 小脳と脳幹の間に成長してきます。聴力障害、顔のしびれ、めまいなど聴神経腫瘍と似た症状が出ます。
円蓋部髄膜腫
傍矢状洞髄膜腫
大脳鎌髄膜腫
蝶形骨縁髄膜腫
鞍結節部髄膜腫
テント髄膜腫
小脳橋角部髄膜腫
- 原因は未だにはっきりしていませんが、遺伝子の異常と関係していると多くの研究で示されてきています。
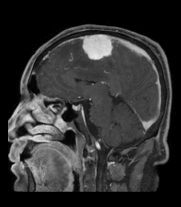
- CTやMRIなどで造影剤を使用した診断が行われます。特にMRIが有効で、頭蓋底部に発生した小さな髄膜腫の診断にも優れています。時に脳の血管を直接写す、脳血管撮影が行われます。
髄膜腫の主な症状
髄膜腫の主な原因
3.髄膜腫の検査


